
Se prohíbe temporalmente la caza en Castilla y León
La suspensión, que podrá ser recurrida e implica que en esta comunidad autónoma no se podrá cazar mientras esté impuesta, es en favor del recurso presentado por Pacma en el que se.

La suspensión, que podrá ser recurrida e implica que en esta comunidad autónoma no se podrá cazar mientras esté impuesta, es en favor del recurso presentado por Pacma en el que se.
Los 200 alumnos de 2º de Bachillerato más brillantes de toda España compiten los días 28 de febrero, 1 y 2 de marzo por una de las 50 plazas de la XIV.
Pasear al perro, llevar las bolsas de la compra o subir las escaleras de casa o del metro también pueden ser una forma de hacer deporte, mantenerse saludable y mejorar la salud..
Los Oscar de este año se han caracterizado por ser atípicos, han faltado los presentadores, las bromas y los números musicales. La edición número 91 de los premios del cine de Hollywood,.

El proceso judicial contra los líderes del procés ha comenzado este martes en el Tribunal Supremo. Están acusados, prácticamente, todos los integrantes del Gobierno de Carles Puigdemont, así como los líderes de las asociaciones.
A las 11 de la mañana del pasado domingo, el centro de Madrid comenzaba a llenarse de familias y grupos que rezumaban españolidad, niños, jóvenes y personas mayores llevaban banderas a modo.

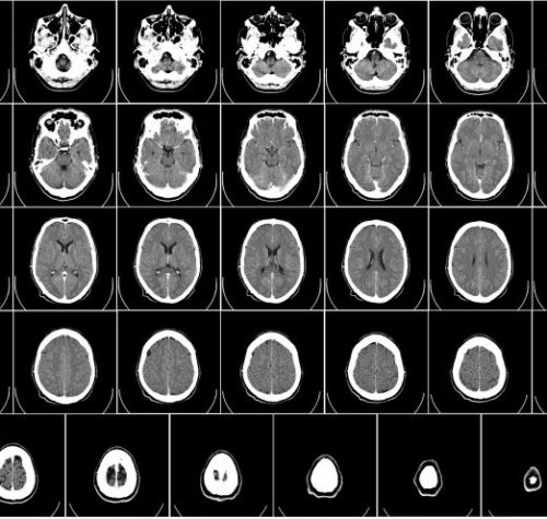
Un fármaco llamado lamivudina, un artiviral usado para tratar el VIH, ha conseguido disminuir “significativamente” las señales de algunas enfermedades de la edad, como el alzhéimer, el parkinson, la artritis o la degeneración.
El paro más largo de la historia del taxi en Madrid llega a su fin. Tras 16 días ha ganado el “no” en la consulta, realizada por los taxistas, que decidía si.
Los costes de la energía eléctrica en España han subido un 2,5% en el año 2018, con lo que alcanzan el precio más alto en la última década. El valor actual del.
La 33ª edición de los Premios Goya tuvo lugar el pasado sábado. La película Campeones y el filme El Reino fueron los más galardonados. El discurso de Jesús Vidal, premiado como Actor Revelación.
